Постила
  • Авто и мото
  • Гороскопы и эзотерика
  • Дом и уют
  • Здоровье
  • Литература
  • Новости
  • Психология
  • Ремонт
  • Саморазвитие
  • Фотография и искусство
  • Какой сегодня праздник?
  • Внешность
  • Дети
  • Еда и напитки
  • Знаменитости
  • Маникюр
  • Покупки
  • Путешествия
  • Рукоделие
  • Свадьба
  • Цветы
  • Кусочек Постилы
  • Вязание
  • Диеты и похудение
  • Животные
  • Компьютеры и телефоны
  • Музыка
  • Открытки новое
  • Причёски
  • Разное
  • Сад и огород
  • Спорт и фитнес
  • Блог Постилы
  • Вход / Регистрация
    • Кнопка Пост!
    • Правила
Главная   /   Здоровье   /   здоровье
    • Встроить
    • Пожаловаться
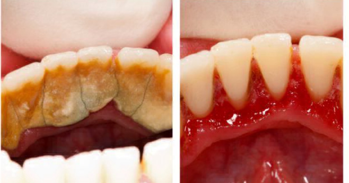
Способ избавления от зубного камня прямо у себя дома  Мы все ненавидим зубной камень. И все ненавидим бывать у стоматолога.

Вот вам простой рецепт, который поможет сохранить зубы и легко справиться с такой проблемой, как зубной камень.

Если не следить…
zoom_in
womenjournal.xyz
13.10.2018, 17:14:02

Способ избавления от зубного камня прямо у себя дома Мы все ненавидим зубной камень. И все ненавидим бывать у стоматолога. Вот вам простой рецепт, который поможет сохранить зубы и легко справиться с такой проблемой, как зубной камень. Если не следить…

Способ избавления от зубного камня прямо у себя дома Мы все ненавидим зубной камень. И все ненавидим бывать у стоматолога. Вот вам простой рецепт, который поможет сохранить зубы и легко справиться с такой проблемой, как зубной камень. Если не следить…
Постила
Что такое Постила О нас Блог Постила ВКонтакте Кнопка «Пост!»
Новые посты Новые доски Открытки Рецепты Aрхив
Категории Темы Теги Лучшее на Постиле Какой сегодня праздник?
Помощь Правила Пользовательское соглашение Наши партнеры: Пикабу Промокоды Пикабу Рекламодателям