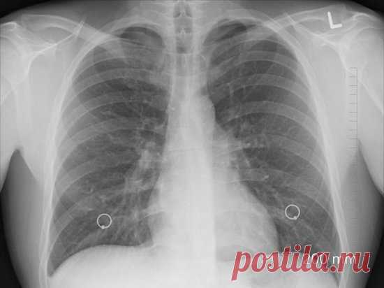
Патологоанатом рассказал о состоянии лёгких больных коронавирусом: