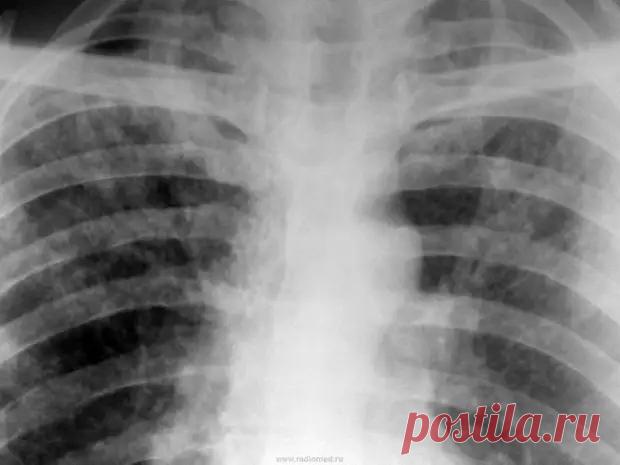
Видно ли туберкулез на снимке рентгена? - ПолонСил.ру - социальная сеть здоровья - 23 июля - 43489617743 - Медиаплатформа МирТесен